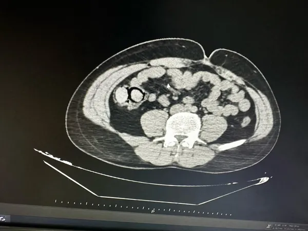
Narkotik Suçlarla Mücadele Şube Müdürlüğüne bağlı narkotik zamanları, otobüslerle ilimize gelen iki şüpheli şahsı gözaltına aldı. Yapılan iç beden muayenesinde, şüphelilerin midesinde toplam 113 gram metamfetamin maddesi ele geçirildi.

Her iki şüpheli, sürekli madde ticareti suçundan tutuklanarak Elazığ Kapalı Ceza İnfaz Kurumu'na teslim edildi.